|
|
慢性胃炎:
胸やけ、もたれ、むかつきを訴えて来院。内視鏡で観察してもわずかに線状の発赤を認めるのみで、慢性胃炎の一種の表層性胃炎の所見です。このような慢性胃炎の方の中に、なかなか治らない胸やけ、もたれ、むかつきに悩まれている方が多くいます。機能的上部消化管症状と呼ばれ、胃や食道の正常な運動機能の衰えが原因です。抗潰瘍剤や粘膜保護剤では効果が少なく、消化管運動促進剤を内服すると改善します。
|
| |
|
|
|
急性胃炎:
心窩部痛、食欲不振、吐き気を訴えて来院。内視鏡検査を施行すると、前庭部に線状のびらんを認め、急性胃炎の所見です。整形外科から処方された鎮痛剤が原因でした。抗潰瘍剤、粘膜保護剤の内服で症状は速やかに消失しました。
 |
| |
|
|
|
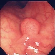
胃ポリープ:
健診の胃X線検査でポリープの疑い、内視鏡検査を施行すると小豆大の白色調の表面平滑なポリープを認めました。組織検査では過形成性ポリープの診断。このポリープは、大きくなったり癌になったりすることはありません。年に一度の検査で十分と思います。
|
| |
|
|
|
胃潰瘍:
心窩部痛、食欲不振、黒色便を訴えて来院。内視鏡検査を施行すると類円形の活動期の潰瘍を認めました。良性の潰瘍で内服治療で十分に治癒します。現在、潰瘍の原因はピロリ菌であるされ、潰瘍の治療としてピロリ菌をやっつける(除菌)ことが認められています。潰瘍を何度も繰り返している方は、是非除菌療法を考慮してください。
|
| |
|
|
|
進行胃癌:
心窩部痛、食欲不振、黒色便を訴えて来院。抗潰瘍剤で症状は少し軽減しましたが、これまで胃の検査をしたことがなかったので、内視鏡検査を施行いたしました。胃に進行癌を認め、すぐに手術の方向で病院を紹介いたしました。癌は治癒切除(治ることが期待できる手術)でした。症状があって、検査を受けたことがない方は、積極的に検査を受けることをお勧めします。
|